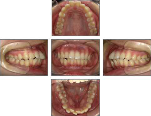
【初診時の歯並び】
今回は10代の患者さんの症例をご紹介します。
口元の突出感(いわゆる口ゴボ)と歯並びを気にされてご来院されました。
10代の患者さんでは、見た目のお悩みに加え、将来の進学や就職を見据えて「大人になる前に矯正治療を終えておきたい」
と希望されるケースも少なくありません。
<10代の患者さんに多いお悩み例>
- マスクを外すことに抵抗がある
- 会話中に口元を見られるのが気になる
- 写真撮影の際に口元を隠してしまう
- 噛みにくさがあり、食事を楽しめないことがある など
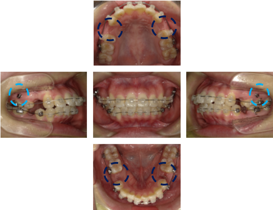
【治療経過】抜歯後
歯を後方へ移動させ、口元の突出感を改善するため、上顎左右4番、下顎左右5番の計4本を抜歯しました。
(※写真内の紺色の丸部分です)
これにより、歯を後ろへ下げるためのスペース(余白)を確保します。水色で示しているのはアンカースクリューです。口ゴボの改善では、アンカースクリューを固定源として使用し、
口元全体を後方へ下げる治療を行います。
>>(関連記事)【特集】アンカースクリューと口ゴボ-矯正治療に使うアンカースクリューとは?
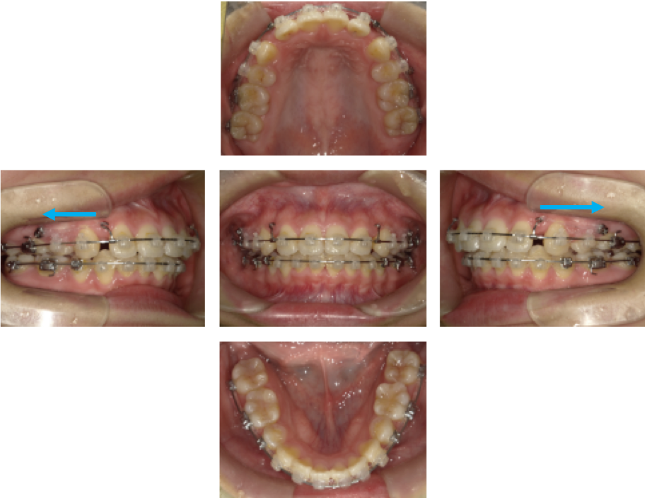
【治療経過】アンカースクリューによる移動
歯並びがある程度整った段階で、アンカースクリューを固定源として、フックに透明のゴムをかけ、歯を後方へ移動させていきました。
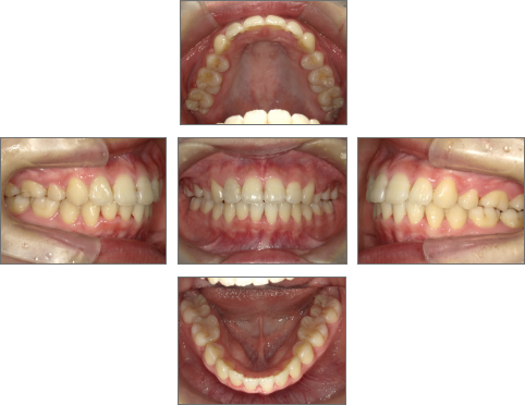
【治療後】
【口元の変化】
治療前は口を閉じるために力が必要な状態でしたが、歯並びと噛み合わせが改善されたことで、治療後は自然な力で口を閉じられるようになり、横顔もすっきりとした印象になりました。
最近では、歯並びの乱れだけでなく、
「口ゴボ(口元の突出感)」を主訴としてご相談いただくケースが増えています。
過去にも口ゴボの症例をご紹介していますので、詳しくは下記よりご確認ください。
●主訴
口元が前に出ている、歯並びが悪い
●診断名あるいは主な症状
上下顎前突
●年齢
16歳11ヶ月
●治療に用いた主な装置
セラミックブラケット・アンカースクリュー
●抜歯部位
上顎左右4番 下顎左右5番 計4本抜歯
●治療期間
約2年6ヶ月
●メンテナンス頻度
月1回
●治療費用(税込)
約1,100,000円
矯正歯科治療に伴う一般的なリスクや副作用について(改訂)
日本矯正歯科専門医機関の規定により、当院では矯正治療を行う上で、リスクや副作用を明示しています。
- 最初は矯正装置による不快感、痛み等があります。数日間~1、2 週間で慣れることが多いですが個人差があります。
- 歯の動き方には個人差があります。そのため、予想された治療期間が延長する可能性がありますが、その場合には改めて治療期間のスケジュール作成等をいたします。
- 装置の使用状況、顎間ゴムの使用状況、定期的な通院等、矯正治療には患者さんの協力が非常に重要であり、それらが治療結果や治療期間に影響することがあります。
- 治療中は、装置が付いているため歯が磨きにくくなります。むし歯や歯周病のリスクが高まりますので、丁寧に磨いたり、定期的なメンテナンスを受けたりすることが重要です。また、歯が動くと隠れていたむし歯が見えるようになることもあります。程度によっては、虫歯治療を優先します。
- 歯を動かすことにより歯根が吸収して短くなることがあります。また、歯ぐきがやせて下がることがあります。
- ごくまれに歯が骨と癒着していて歯が動かないことがあります。
- ごくまれに歯を動かすことで神経が障害を受けて壊死することがあります。
- 治療途中に金属等のアレルギー症状が出ることがあります。その場合には装置の変更等を行います。
- 治療中に「顎関節で音が鳴る、あごが痛い、口が開けにくい」などの顎関節症状が出ることがあります。
- 様々な問題により、当初予定した治療計画を変更する可能性があります。
- 歯の形を修正したり、咬み合わせの微調整を行ったりする可能性があります。
- 矯正装置を誤飲する可能性があります。
- 装置を外す時に、エナメル質に微小な亀裂が入る可能性や、かぶせ物(補綴物)の一部が破損する可能性があります。
- 装置が外れた後、保定装置を指示通り使用しないと後戻りが生じる可能性が高くなります。保定装置とは>>
- 装置が外れた後、現在の咬み合わせに合った状態のかぶせ物(補綴物)やむし歯の治療(修復物)などをやりなおす可能性があります。
- あごの成長発育によりかみ合わせや歯並びが変化する可能性があります。
- 治療後に親知らずが生えて、凸凹が生じる可能性があります。加齢や歯周病等により歯を支えている骨がやせるとかみ合わせや歯並びが変化することがあります。その場合、再治療等が必要になることがあります。
- 矯正歯科治療は、一度始めると元の状態に戻すことは難しくなります。









