今回の症例の方は、一見すると「そこまで歯並びは悪くないのではないか?」と思う方もいるかもしれません。
しかし、口元の突出感(口ゴボ)が気になることや「将来の自分の歯はどのような状態か?」という点を考慮し矯正治療を開始しました。
【口元】

【治療前】
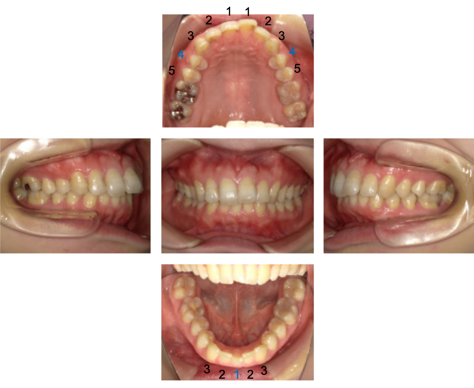
下顎は、生まれつき下の前歯が1本欠如している「スリーインサイザー(3 incisor)」の状態でした。下の歯が1本無いことがわかります。
※青色の番号…抜歯箇所です(上顎左右4番 下顎左1番)
【治療経過】
<上顎>
左右4番の歯を抜いたあと、3番の歯をうしろへ動かしました。
その結果、3番の歯は5番の歯のすぐ隣まで移動し、2番と3番の歯の間にすき間ができています。口ゴボを改善するため左右1番2番を後ろへ下げました。
<下顎>
下顎前歯3本(2番・1番・2番)のうち、真ん中の1番の歯を抜歯しました。そのため、下顎は(3番・2番・2番・3番)という並びになっています。
・紺色の丸部分…抜歯した箇所
・水色の丸部分…アンカースクリュー>>です。
【治療後】
【口元の変化】
大人になってからの矯正治療について
大人からの矯正治療は、見た目の変化だけでなく、日常の感じ方そのものが変わることがあります。
矯正治療の開始年齢は、20代・30代・40代とさまざまです。
歯並びをきれいにしたいという思いだけでなく、
「今ある歯をできるだけ長く大切にしたい」「歯を失いたくない」
そんな思いでご相談に来られる大人の方も少なくありません。
正しい歯並びでない場合、噛める面積が少なくなり、十分な咀嚼ができていないことがあります。
その結果、食べ物をしっかり噛み砕けず、胃腸に負担がかかることもあります。
矯正治療によって、歯並びや噛み合わせが改善し、胃腸への負担が軽減されることで、食生活が変わり肌の調子が良くなったと感じる方もいらっしゃいました。
歯並びが整っていく過程で、
- 肌のお手入れを始めた
- 服装や姿勢を意識するようになった
- 「もっと自分を大切にしよう」と思えるようになった
といった、前向きな変化の言葉を耳にする機会が増えていくと私たちも大変嬉しくなります。今回の症例でも、治療後の横顔がスッキリされています。
手っ取り早く歯並びを整える方法として、補綴物(差し歯)という選択肢もありますが、矯正治療はご自身の歯を活かし、改善していく治療です。
「今ある自分の歯を、将来できるだけ失いたくない、残していきたい」
このような思いで矯正治療を選ばれる大人の方は、年々増えているように思います。
矯正治療は、歯並びを整えるためだけの治療ではなく、人生の質を、少しずつ豊かにしていく選択肢のひとつ。
最近では、そんなふうに感じています。人生100年時代。あなたは将来、どのような口元で過ごしたいですか?
●主訴
口を閉じた時に口元が前に出ている、突出感が気になる。将来の歯も大切にしたい。
●診断名あるいは主な症状
上下顎前突
●年齢
32歳2ヶ月
●治療に用いた主な装置
セラミックブラケット・アンカースクリュー
●抜歯部位
上顎左右4番 下顎左1番
●治療期間
約3年1ヶ月
●メンテナンス頻度
月1回
●治療費用(税込)
約1,100,000円
矯正歯科治療に伴う一般的なリスクや副作用について(改訂)
日本矯正歯科専門医機関の規定により、当院では矯正治療を行う上で、リスクや副作用を明示しています。
- 最初は矯正装置による不快感、痛み等があります。数日間~1、2 週間で慣れることが多いですが個人差があります。
- 歯の動き方には個人差があります。そのため、予想された治療期間が延長する可能性がありますが、その場合には改めて治療期間のスケジュール作成等をいたします。
- 装置の使用状況、顎間ゴムの使用状況、定期的な通院等、矯正治療には患者さんの協力が非常に重要であり、それらが治療結果や治療期間に影響することがあります。
- 治療中は、装置が付いているため歯が磨きにくくなります。むし歯や歯周病のリスクが高まりますので、丁寧に磨いたり、定期的なメンテナンスを受けたりすることが重要です。また、歯が動くと隠れていたむし歯が見えるようになることもあります。程度によっては、虫歯治療を優先します。
- 歯を動かすことにより歯根が吸収して短くなることがあります。また、歯ぐきがやせて下がることがあります。
- ごくまれに歯が骨と癒着していて歯が動かないことがあります。
- ごくまれに歯を動かすことで神経が障害を受けて壊死することがあります。
- 治療途中に金属等のアレルギー症状が出ることがあります。その場合には装置の変更等を行います。
- 治療中に「顎関節で音が鳴る、あごが痛い、口が開けにくい」などの顎関節症状が出ることがあります。
- 様々な問題により、当初予定した治療計画を変更する可能性があります。
- 歯の形を修正したり、咬み合わせの微調整を行ったりする可能性があります。
- 矯正装置を誤飲する可能性があります。
- 装置を外す時に、エナメル質に微小な亀裂が入る可能性や、かぶせ物(補綴物)の一部が破損する可能性があります。
- 装置が外れた後、保定装置を指示通り使用しないと後戻りが生じる可能性が高くなります。保定装置とは>>
- 装置が外れた後、現在の咬み合わせに合った状態のかぶせ物(補綴物)やむし歯の治療(修復物)などをやりなおす可能性があります。
- あごの成長発育によりかみ合わせや歯並びが変化する可能性があります。
- 治療後に親知らずが生えて、凸凹が生じる可能性があります。加齢や歯周病等により歯を支えている骨がやせるとかみ合わせや歯並びが変化することがあります。その場合、再治療等が必要になることがあります。
- 矯正歯科治療は、一度始めると元の状態に戻すことは難しくなります。




