30代以降になると、「今さら矯正治療を始めても、遅いのでは?」と、治療をためらう方は少なくありません。
当院にも、歯並びの見た目に関するご相談はもちろん、30代以上ならではの機能面のお悩みについて、多くのご相談が寄せられています。
【30代以降に多い機能面のお悩み】
- 歯並びが悪く、歯磨きがしづらい
- 食べ物をうまく噛み切れない
- 表情が怒っているように見えると言われた
- 歯並びの乱れによって、かみ合わせが合っていない
- かみ合わせの不良により、奥歯が摩耗している
(一部の歯に過度な負担がかかっているケースもあります) - 歯磨きがしにくく、口臭が気になる
- このまま放置すると、歯周病が進行し、将来歯を失ってしまうのではないかと不安
このように、歯並びだけでなく、噛む・磨く・守るといったお口の機能に関するお悩みが増えてくる年代でもあります。
※むし歯や歯周病など、治療が必要な場合は一般歯科で治療を受けていただいた後、矯正治療を開始いたします。
「もう年齢的に遅いのでは」と思われる方もいらっしゃいますが、矯正治療は大人になってからでも十分に可能です。
今回の症例は30代で治療を開始し、約2年で治療を終了した例です。
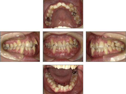
【治療前】
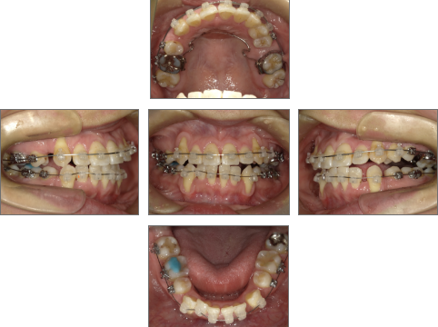
【治療経過】
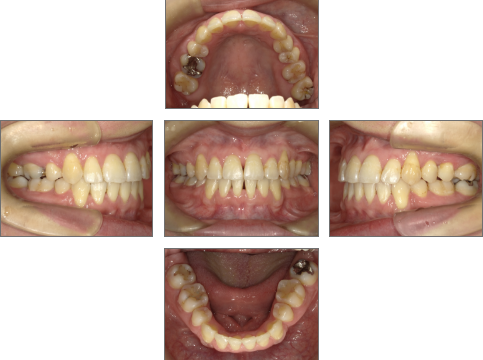
【治療後】
大人の矯正治療について
子どもの頃と比べると、大人の骨はすでに成長が終わっているため、歯の移動に時間がかかる場合があります。
しかし、適切な診断と治療計画を立てることで、30代・40代からでも矯正治療は可能です。
また、30代・40代は、経済的・時間的に比較的余裕が出てくる時期でもあり、当院でも大人の矯正治療のご相談は年々増加しています。
人生100年時代と言われる現在、30代から矯正治療を始めても、これから先の人生はまだ長く続きます。
将来のお口の健康を守るための自己投資として、矯正治療をご検討中の方は、まずはお気軽にご相談ください。
現在のお口の状態を丁寧に診査し、年齢やライフスタイルに合わせた矯正治療をご提案いたします。
●主訴
歯並びのガタガタが気になる。歯磨きがしづらく、将来、歯が悪くなってしまうのではないか、心配。
●診断名あるいは主な症状
叢生
●年齢
31歳2ヶ月
●治療に用いた主な装置
セラミックブラケット
●抜歯部位
右上4番、左上6番、右下4番、左下4番・8番(親知らず) 計5本抜歯
●治療期間
約2年
●メンテナンス頻度
月1回
●治療費用(税抜)
約1,100,000円



