近年、20代以降の矯正相談が増加しています。
仕事・結婚・家庭などライフイベントの多い年代であり、将来を見据えて矯正治療を開始される方が増えています。
特に多いご相談は、
-
「検索していたら自分は口ゴボかもしれないと思った」
-
「横顔を見ると口元が出ている気がする」
-
「他院で相談したら難しいと言われた」
といった内容です。
歯並びに大きな乱れがなくても、前歯の傾斜や突出によって口元が前方に見えることがあります。
今回の症例も、前歯の突出による口元の前突感が主訴でした。
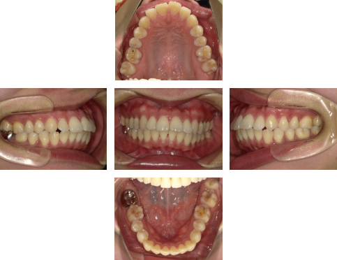
【初診時】
初診時の口腔内写真では、強い叢生(ガタつき)は目立ちません。しかし横から見た写真では、上下の前歯の前方突出が確認できます。
この症例では、歯を後方へ移動させるためのスペースが不足しているため、非抜歯では十分な改善が困難と判断しました。
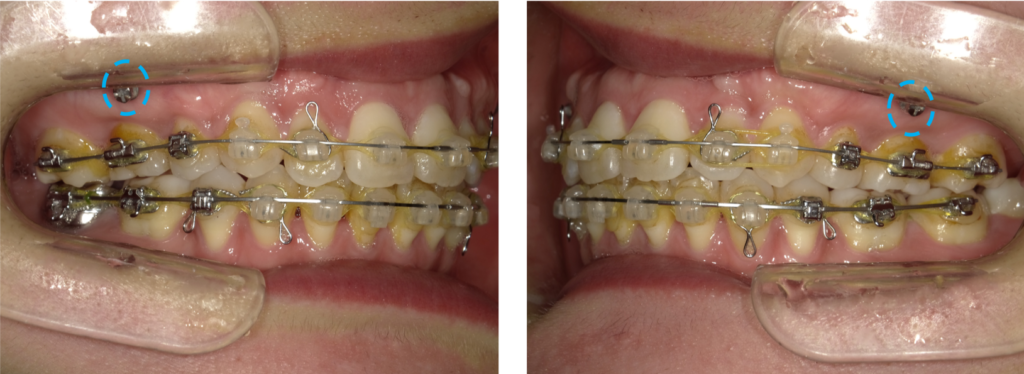
【治療中】
上顎左右4番、下顎左右5番の計4本を抜歯をし移動させるスペースを確保したあと、アンカースクリュー(水色の◯の箇所)を併用し、前歯を後方へ移動させました。
※関連記事:アンカースクリュー特集>>
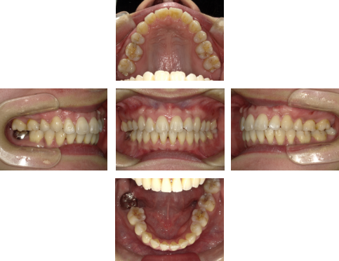
【治療終了時】
前歯が後方へ移動したことで、口唇の突出感が改善しました。
- 口を閉じた際の緊張感の軽減
- 自然に口唇閉鎖が可能に
- 横顔のバランス改善
Eラインが整ったことで口元の印象がスッキリしていることがおわかりいただけるかと思います。
<初診時>
●主訴
口元が前に出ている(口ゴボ)、口を閉じる時に力がはいってしまう
●診断名あるいは主な症状
上下顎前突
●年齢
25歳
●治療に用いた主な装置
セラミックブラケット
●抜歯部位
上顎左右4番・下顎左右5番 合計4本
●治療期間
約2年1ヶ月
●メンテナンス頻度
月1回
●治療費用(税込)
約1,100,000円
矯正歯科治療に伴う一般的なリスクや副作用について(改訂)
日本矯正歯科専門医機関の規定により、当院では矯正治療を行う上で、リスクや副作用を明示しています。
- 最初は矯正装置による不快感、痛み等があります。数日間~1、2 週間で慣れることが多いですが個人差があります。
- 歯の動き方には個人差があります。そのため、予想された治療期間が延長する可能性がありますが、その場合には改めて治療期間のスケジュール作成等をいたします。
- 装置の使用状況、顎間ゴムの使用状況、定期的な通院等、矯正治療には患者さんの協力が非常に重要であり、それらが治療結果や治療期間に影響することがあります。
- 治療中は、装置が付いているため歯が磨きにくくなります。むし歯や歯周病のリスクが高まりますので、丁寧に磨いたり、定期的なメンテナンスを受けたりすることが重要です。また、歯が動くと隠れていたむし歯が見えるようになることもあります。程度によっては、虫歯治療を優先します。
- 歯を動かすことにより歯根が吸収して短くなることがあります。また、歯ぐきがやせて下がることがあります。
- ごくまれに歯が骨と癒着していて歯が動かないことがあります。
- ごくまれに歯を動かすことで神経が障害を受けて壊死することがあります。
- 治療途中に金属等のアレルギー症状が出ることがあります。その場合には装置の変更等を行います。
- 治療中に「顎関節で音が鳴る、あごが痛い、口が開けにくい」などの顎関節症状が出ることがあります。
- 様々な問題により、当初予定した治療計画を変更する可能性があります。
- 歯の形を修正したり、咬み合わせの微調整を行ったりする可能性があります。
- 矯正装置を誤飲する可能性があります。
- 装置を外す時に、エナメル質に微小な亀裂が入る可能性や、かぶせ物(補綴物)の一部が破損する可能性があります。
- 装置が外れた後、保定装置を指示通り使用しないと後戻りが生じる可能性が高くなります。保定装置とは>>
- 装置が外れた後、現在の咬み合わせに合った状態のかぶせ物(補綴物)やむし歯の治療(修復物)などをやりなおす可能性があります。
- あごの成長発育によりかみ合わせや歯並びが変化する可能性があります。
- 治療後に親知らずが生えて、凸凹が生じる可能性があります。加齢や歯周病等により歯を支えている骨がやせるとかみ合わせや歯並びが変化することがあります。その場合、再治療等が必要になることがあります。
- 矯正歯科治療は、一度始めると元の状態に戻すことは難しくなります。





