今回は、外科手術を伴う成人の方の受け口(反対咬合)に対する矯正治療の症例をご紹介します。サージェリーファースト(※)で治療を行いました。
※サージェリーファーストとは?
顎の前後関係を改善する外科手術を先に行い、術後に歯並びを整えるために矯正治療を行う方法です。
一般的に行われている外科矯正は、手術の前・後に矯正治療を行いますが、今回のサージェリーファーストの症例は「術後のみ」矯正治療を行いました。
(注意点)サージェリーファーストはすべての症例に適用できる治療法ではなく、一定の症例条件を満たす場合にのみ対応可能です。
【参考動画】外科手術時の骨・歯並び動き ※以下は治療前に矯正治療を行なった場合の動きです。
歯並びの変化
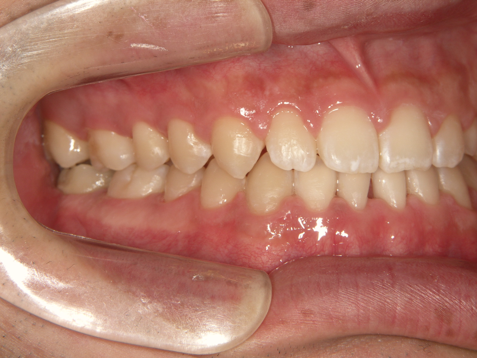
① 治療前
受け口(反対咬合)の状態です。下顎が前方に突出しています。

▼
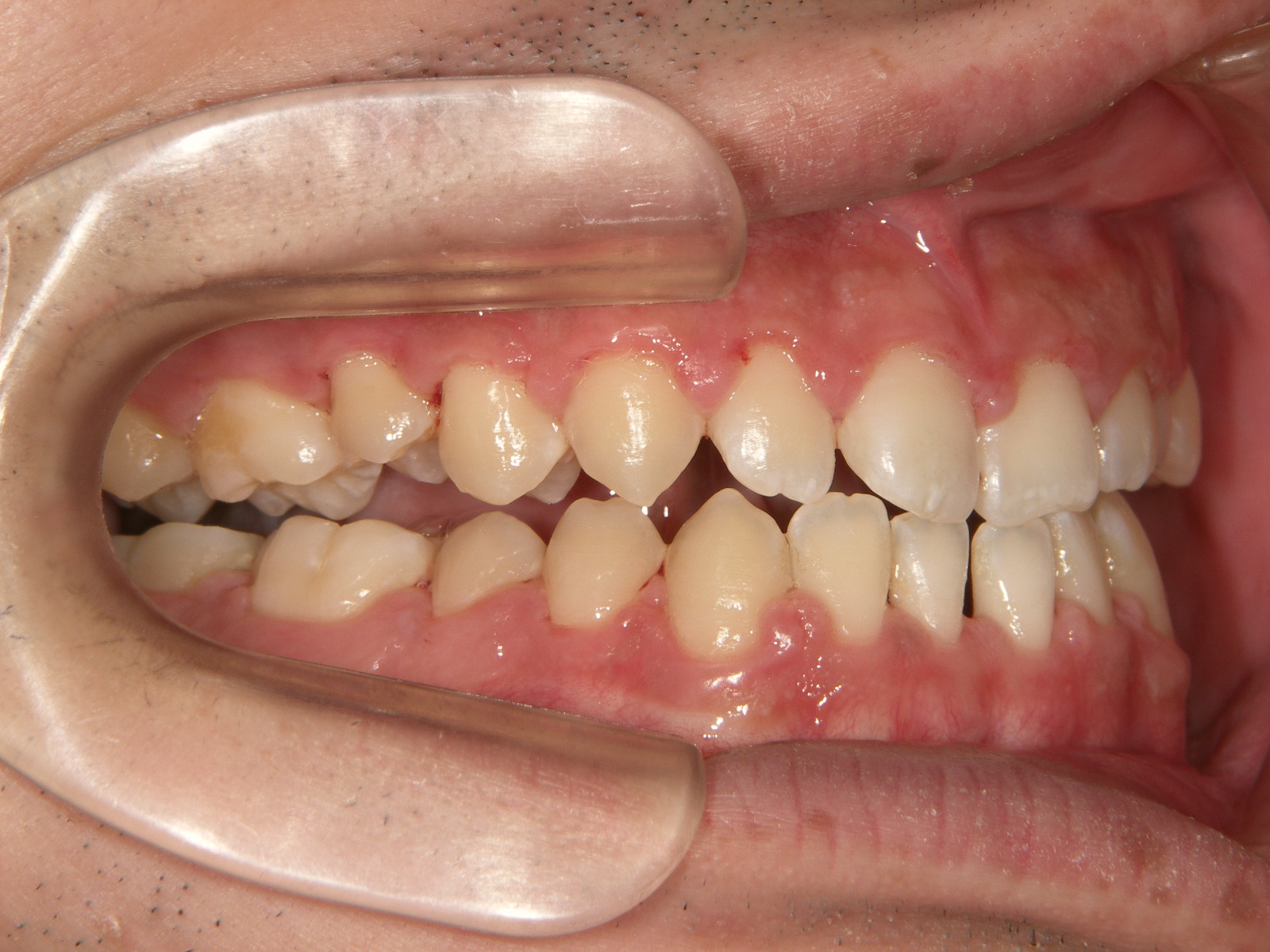
②外科手術後
外科手術後の状態です。下顎の位置は下がり、受け口が改善されましたが、上下のかみ合わせのズレがあります。

▼
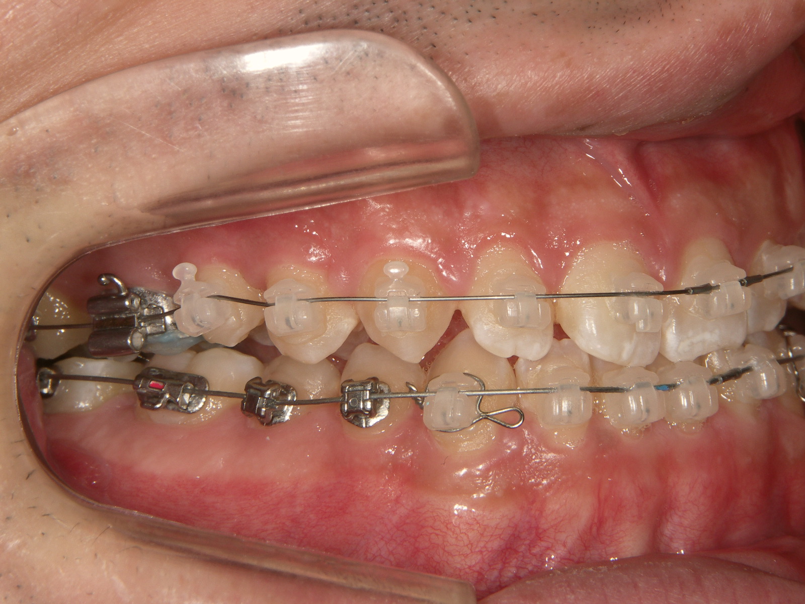
③矯正治療中
ブラケット矯正装置を装着し、上下のかみ合わせが正しい位置で合うように歯並びを調整します。

▼
④矯正治療後
矯正装置を外した後の歯並びです。
上下のかみ合わせがしっかりと噛み合い、機能面も歯並びもバランスの良い状態になりました。

【サージェリーファーストに関する質問】
Q:入院は必要でしょうか?
A:はい。提携先の病院で入院をしていただきます。入院期間は、2週間程度です。
Q:治療期間が短くなりますか?
A:はい。サージェリーファーストでは治療期間の短縮が期待できます。こちらの症例では、全治療期間は約8ヶ月でした(外科手術後、矯正装置を到着し、約4ヶ月で装置を外しています。)
※通常の治療では術前矯正を1年、手術後を矯正治療をしたあとさらに約1年程度で治療が終了します。
Q:下顎を下げる時のボルトは、いつ外すのでしょうか?
A:手術時にズレた骨片を正確に合わせ固定するために「プレート固定」というボルトを使用します。こちらは、通常、術後1年後を目安に除去します。
●主訴
受け口・顎の歪みが気になる。
●診断名あるいは主な症状
下顎前突症(受け口)
●年齢
21歳11ヶ月
●治療に用いた主な装置
セラミックブラケット
●抜歯部位
上顎左右8番(親知らず) 下顎左右8番(親知らず) 計4本抜歯
●動的治療期間
4ヶ月
●メンテナンス頻度
月1回
●治療費用(税抜)
約1,100,000円
※外科手術についての費用は、提携先の病院にてお支払いが必要です。
矯正歯科治療に伴う一般的なリスクや副作用について(改訂)
日本矯正歯科専門医機関の規定により、当院では矯正治療を行う上で、リスクや副作用を明示しています。
- 最初は矯正装置による不快感、痛み等があります。数日間~1、2 週間で慣れることが多いですが個人差があります。
- 歯の動き方には個人差があります。そのため、予想された治療期間が延長する可能性がありますが、その場合には改めて治療期間のスケジュール作成等をいたします。
- 装置の使用状況、顎間ゴムの使用状況、定期的な通院等、矯正治療には患者さんの協力が非常に重要であり、それらが治療結果や治療期間に影響することがあります。
- 治療中は、装置が付いているため歯が磨きにくくなります。むし歯や歯周病のリスクが高まりますので、丁寧に磨いたり、定期的なメンテナンスを受けたりすることが重要です。また、歯が動くと隠れていたむし歯が見えるようになることもあります。程度によっては、虫歯治療を優先します。
- 歯を動かすことにより歯根が吸収して短くなることがあります。また、歯ぐきがやせて下がることがあります。
- ごくまれに歯が骨と癒着していて歯が動かないことがあります。
- ごくまれに歯を動かすことで神経が障害を受けて壊死することがあります。
- 治療途中に金属等のアレルギー症状が出ることがあります。その場合には装置の変更等を行います。
- 治療中に「顎関節で音が鳴る、あごが痛い、口が開けにくい」などの顎関節症状が出ることがあります。
- 様々な問題により、当初予定した治療計画を変更する可能性があります。
- 歯の形を修正したり、咬み合わせの微調整を行ったりする可能性があります。
- 矯正装置を誤飲する可能性があります。
- 装置を外す時に、エナメル質に微小な亀裂が入る可能性や、かぶせ物(補綴物)の一部が破損する可能性があります。
- 装置が外れた後、保定装置を指示通り使用しないと後戻りが生じる可能性が高くなります。保定装置とは>>
- 装置が外れた後、現在の咬み合わせに合った状態のかぶせ物(補綴物)やむし歯の治療(修復物)などをやりなおす可能性があります。
- あごの成長発育によりかみ合わせや歯並びが変化する可能性があります。
- 治療後に親知らずが生えて、凸凹が生じる可能性があります。加齢や歯周病等により歯を支えている骨がやせるとかみ合わせや歯並びが変化することがあります。その場合、再治療等が必要になることがあります。
- 矯正歯科治療は、一度始めると元の状態に戻すことは難しくなります。
