今回の症例は、20代のご相談が多い口ゴボ(前歯の突出による口元の前突感)と歯並びの乱れを主訴としたケースです。

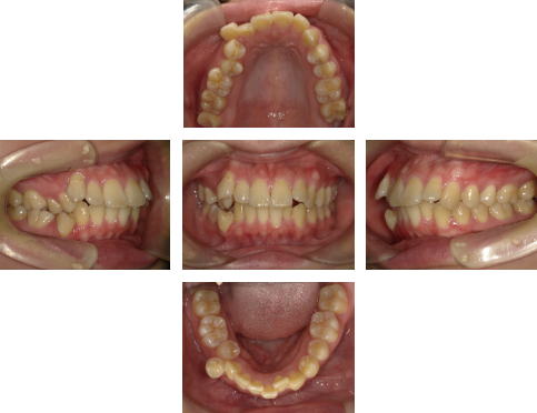
【初診時】

初診時の口腔内写真では、特に上下右側の歯列の乱れが認められました。

また、上下の歯が適切な位置で噛み合っておらず、咬合の不調和が見られます。
【抜歯位置・本数について】

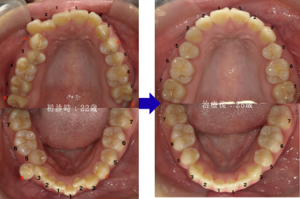
歯を移動させるスペースが不足したため、赤字の箇所(上下左右4番・上下左右8番:合計8本 )を抜歯しました。※下顎左右8番は萌出前に抜歯しました。
健康な歯を複数本抜歯することに抵抗を感じる方もいらっしゃるかと思います。
しかし、抜歯は必ずしも悪いものではなく、適切な口腔環境や噛み合わせを整えるために有効な治療手段となる場合があります。初診相談の際にも十分にご説明を行った上で、治療を開始しました。
※関連記事:親知らずと矯正治療の関係特集>>
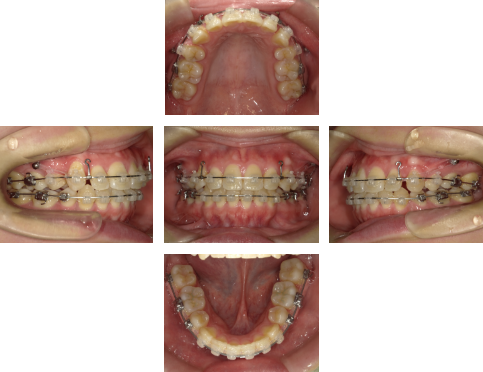
【治療中】

歯列が整ったあと、口蓋側壁にアンカースクリュー(水色の◯の箇所)を併用し、前歯を後方へ移動させました。
※関連記事:アンカースクリュー特集>>
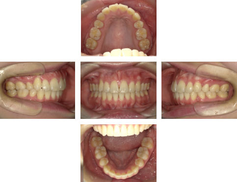
【治療終了時】

前歯の後方移動により、口唇の突出感が改善しました。また、上下の歯が正しい位置で噛み合うようになり、機能面、審美面ともに改善が認められました。
Eラインも整い、口元の印象が変化がお分かりいただけるかと思います。

矯正治療では、見た目の改善だけでなく、機能面の改善も重要です。
噛み合わせが不適切な場合、片側で噛む癖が生じたり、特定の歯に過度な負担がかかることで、歯や顎に悪影響を及ぼし、顎のズレなどを引き起こす可能性があります。また、8番(親知らず)の萌出によって歯並びに影響が考えられるケースでは、抜歯を事前に行い、歯を適切に移動させることで、歯並び・機能面の改善が期待できます。
<初診時>
●主訴
口元が前に出ている(口ゴボ)、口を閉じる時に歯が見えてしまう、歯並びのガタガタが気になる。
●診断名あるいは主な症状
上下顎前突
●年齢
25歳
●治療に用いた主な装置
セラミックブラケット、アンカースクリュー
●抜歯部位
上下左右4番・上下左右8番(親知らず) 合計8本
●治療期間
約2年5ヶ月
●メンテナンス頻度
月1回
●治療費用(税込)
約1,100,000円
矯正歯科治療に伴う一般的なリスクや副作用について(改訂)
日本矯正歯科専門医機関の規定により、当院では矯正治療を行う上で、リスクや副作用を明示しています。
- 最初は矯正装置による不快感、痛み等があります。数日間~1、2 週間で慣れることが多いですが個人差があります。
- 歯の動き方には個人差があります。そのため、予想された治療期間が延長する可能性がありますが、その場合には改めて治療期間のスケジュール作成等をいたします。
- 装置の使用状況、顎間ゴムの使用状況、定期的な通院等、矯正治療には患者さんの協力が非常に重要であり、それらが治療結果や治療期間に影響することがあります。
- 治療中は、装置が付いているため歯が磨きにくくなります。むし歯や歯周病のリスクが高まりますので、丁寧に磨いたり、定期的なメンテナンスを受けたりすることが重要です。また、歯が動くと隠れていたむし歯が見えるようになることもあります。程度によっては、虫歯治療を優先します。
- 歯を動かすことにより歯根が吸収して短くなることがあります。また、歯ぐきがやせて下がることがあります。
- ごくまれに歯が骨と癒着していて歯が動かないことがあります。
- ごくまれに歯を動かすことで神経が障害を受けて壊死することがあります。
- 治療途中に金属等のアレルギー症状が出ることがあります。その場合には装置の変更等を行います。
- 治療中に「顎関節で音が鳴る、あごが痛い、口が開けにくい」などの顎関節症状が出ることがあります。
- 様々な問題により、当初予定した治療計画を変更する可能性があります。
- 歯の形を修正したり、咬み合わせの微調整を行ったりする可能性があります。
- 矯正装置を誤飲する可能性があります。
- 装置を外す時に、エナメル質に微小な亀裂が入る可能性や、かぶせ物(補綴物)の一部が破損する可能性があります。
- 装置が外れた後、保定装置を指示通り使用しないと後戻りが生じる可能性が高くなります。保定装置とは>>
- 装置が外れた後、現在の咬み合わせに合った状態のかぶせ物(補綴物)やむし歯の治療(修復物)などをやりなおす可能性があります。
- あごの成長発育によりかみ合わせや歯並びが変化する可能性があります。
- 治療後に親知らずが生えて、凸凹が生じる可能性があります。加齢や歯周病等により歯を支えている骨がやせるとかみ合わせや歯並びが変化することがあります。その場合、再治療等が必要になることがあります。
- 矯正歯科治療は、一度始めると元の状態に戻すことは難しくなります。
