YOROZU ORTHODONTIC CLINIC
0584-75-4184

予約制木・日・祝休診

大垣駅北口徒歩8分

当院について

  • 大切にしている考え
  • 歯科医師紹介
  • 医院情報・アクセス
  • 矯正治療の正しい選択
  • 矯正歯科専門医とは
  • 費用・料金

初診相談・治療の流れ

矯正治療

  • 矯正装置の種類
  • 小児矯正
  • 本格矯正
  • マウスピース型カスタムメイド矯正歯科装置
  • アフターフォロー
  • リスク・副作用

Pick Up

  • 特集 口ゴボ
  • 特集 アンカースクリューとは
  • 特集 親知らずと矯正治療の関係
  • 受験までに矯正治療を終わらせたい方へ
  • 矯正治療の抜歯・非抜歯について
  • リテーナーの重要性・後戻りの原因について
  • 拡大床

採用案内

  • メッセージ・働き方の特徴
  • エントリー

Blog

  • お知らせ
  • コラム
  • お悩みから探す
  • 症例から探す
  • 初診相談予約LINE
YOROZU ORTHODONTIC CLINIC

  • TOP
  • コラム
  • teen4

最近の記事

  • 2026.02.10
    お知らせ

    9歳から治療終了後、18歳で親知…

  • 2026.02.09
    コラム

    歯科衛生士のSさんが産休前にあい…

  • 2026.02.03
    お知らせ

    30代からの矯正治療-将来、歯を…

  • 2026.01.26
    お知らせ

    10代口ゴボのお悩み(口元が前に…

カテゴリー

  • コラム
  • お知らせ
  • お悩みから探す
  • 症例から探す
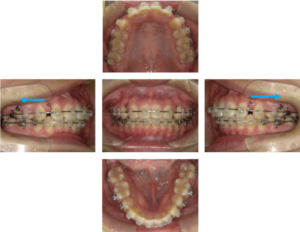
2026.01.26

teen4

理事長 萬 建一 歯科医師

歯学博士 / 一般社団法人日本歯科専門医機構認定 矯正歯科専門医 / 日本矯正歯科学会 認定医 / 日本成人矯正歯科学会 認定医・臨床指導医・総合指導医

院長 平田 彩子 歯科医師

日本矯正歯科学会 認定医 / 日本成人矯正歯科学会 認定医 

歯科医師紹介はこちら

  • <   前のページ
  • 一覧へ戻る
  • 次のページ   >

YOROZU ORTHODONTIC CLINIC

よろず矯正歯科クリニック

診療内容 / 矯正歯科(本格矯正・小児矯正)

〒503-0015 岐阜県大垣市林町10-1309-1 ▶アクセス

大垣駅北口徒歩8分  P 駐車場15台あり

0584-75-4184

Instagram

診療時間

▲土曜日は 9:30~12:00 / 13:30~17:30
休診 / 木曜・日曜・祝日
※PMTC/ホワイトニングは当院で治療中の方のみ実施

  • 日本歯科専門医機構
  • 日本矯正歯科医学会
  • 日本矯正歯科医会

当院について

  • 大切にしている考え
  • 歯科医師紹介
  • 医院情報・アクセス
  • 矯正治療の正しい選択
  • 矯正歯科専門医とは
  • 費用・料金

初診相談・治療の流れ

矯正治療

  • 矯正装置の種類
  • 小児矯正
  • 本格矯正
  • マウスピース型カスタムメイド矯正歯科装置
  • アフターフォロー
  • リスク・副作用

Pick Up

  • 特集 口ゴボ
  • 特集 アンカースクリューとは
  • 特集 親知らずと矯正治療の関係
  • 受験までに矯正治療を終わらせたい方へ
  • 矯正治療の抜歯・非抜歯について
  • リテーナーの重要性・後戻りの原因について
  • 拡大床

採用案内

  • メッセージ・働き方の特徴
  • エントリー

Blog

  • お知らせ
  • コラム
  • お悩みから探す
  • 症例から探す

©2020 YOROZU ORTHODONTIC CLINIC. 

  • 日本歯科専門医機構
  • 日本矯正歯科医学会
  • 日本矯正歯科医会
矯正治療、誰に任せますか?

専門医の資格とその意味を知る

TEL(予約制)
休診日 / 木・日・祝
はじめての方専用
初診相談予約LINE
初診相談(プレ診断)
はこちら